Nguyên nhân tôm bị nhiễm vi bào tử trùng EHP
Hiện nay EHP đang là dịch bệnh nguy hiểm cho tôm trên quy mô cả nước. Nhiều vụ nuôi tôm đang phải thu hoạch sớm, hoặc mất trắng. Nhiều ao tôm tại các địa phương đang bị bỏ trống vì lo sợ thiệt hại. Nhiều hộ nuôi đang e ngại quyết định cho việc thả giống vào vụ nuôi tiếp theo do lo ngại dịch bệnh EHP trên tôm.
Bệnh vi bào tử trùng EHP trên tôm là gì?
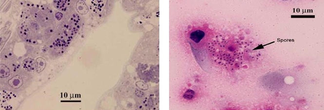
Ảnh nhuộm tế bào biểu mô của EHP
EHP (Enterocytozoon hepatopenaei) là vi bào tử trùng có kích thước rất nhỏ. Các tế bào EHP thường sẽ có kích thước chiều dài khoảng 1μm, chiều rộng tế bào khoảng từ 0,5-0,6μm. Mỗi tế bào EHP sẽ có 1 sợi cực duy nhất và có độ dài khoảng 0,5μm, với 5-6 vòng xoắn. Lần đầu tiên Việt Nam phát hiện bệnh do EHP gây ra là trên tôm sú.
Nguyên nhân tôm bị nhiễm vi bào tử trùng EHP
Khuẩn sợi và trùng loa kèn bám vào phụ bộ của tôm
EHP lây nhiễm cho tôm theo chiều dọc: Từ nguồn bố mẹ sang ấu trùng tôm con.
EHP lây nhiễm cho tôm theo chiều ngang:
- EHP lây nhiễm cho tôm từ nguồn thức ăn tươi sống, 2 mảnh vỏ và Artemia,..
- EHP lây nhiễm cho tôm qua môi trường nước ao: Phân tôm, thức ăn dư thừa,..
- Vỏ tôm và ngoại ký sinh (trùng loa kèn, zoothamnium, khuẩn sợi,..) cũng là một trong những nguyên nhân làm tôm bị nhiễm EHP
Dấu hiệu nhận biết tôm bị EHP
Tôm bị nhiễm EHP, ruột lỏng phân nát
Tôm sẽ nhảy size chậm, tăng trưởng không đều (10-40%) sau 25-30 ngày nuôi.
Tôm ăn thức ăn không tăng và giảm dần ăn (50-70%)
Tôm bị EHP, biểu hiện rõ nhất vào giai đoạn 40-60 ngày (khoảng 3-4g/con).
Tôm bị nhiễm EHP nặng sẽ xuất hiện phân trắng và gan tụy sẽ mất màu.
Cơ chế EHP lây nhiễm cho tôm
Vòng đời của EHP
Ban đầu, bên ngoài môi trường nước EHP chủ yếu sống dưới dạng tự do và dựa vào đĩa bám để bám vào các giá thể như khuẩn sợi, trùng loa kèn, vỏ tôm,.. những giá thể trên cũng chính là những nguyên nhân làm tôm bị nhiễm EHP tiềm ẩn. Mục đích của việc này, đó là chúng sẽ tìm cơ hội để xâm nhập và tế bào của tôm. Khi EHP xâm nhập vào được tế bào tôm, chúng sẽ thực hiện quá trình phóng sợi cực ra bên ngoài và ghim vào tế bào của vật chủ. Khi đó, sợi cực của EHP có tác dụng hút các chất dinh dưỡng từ tế bào tôm để nuôi cơ thể chúng phát triển, bên cạnh đó sợi cực này còn có tác dụng giúp EHP sinh sản trong gan tôm (nhân lên trong tế bào biểu mô ống của mô gan) và trong hệ thống đường ruột tôm một cách linh hoạt và nhanh chóng, thông qua việc truyền nhân DNA của mình sang tôm. Thời gian EHP lây nhiễm cho tôm (trong ống gan tụy) từ 10-14 ngày. Bên cạnh đó, đường miệng và ruột của tôm cũng là những nơi EHP thường xuyên “lui tới”.
Hậu quả khi tôm bị nhiễm vi bào tử trùng EHP
Tôm lệch size khi bị nhiễm EHP
Tôm không còn đủ chất dinh dưỡng, không đủ khả năng lột xác và sức khỏe để tăng trưởng.
Tôm chậm lớn, còi cọc và hao lát đát liên tục trong thời gian dài.
Một số trường hợp tôm bị EHP nặng sẽ bội nhiễm với bệnh phân trắng và một số bệnh nguy hiểm khác như: Đốm trắng (WSSV), hoại tử gan tụy cấp (AHPND),..dẫn đến tỷ lệ tôm chết lên đến 100% trong thời gian ngắn.
Cách phòng EHP và trị EHP hiệu quả nhất hiện nay
Cải tạo ao nuôi
Bước 1. Kích thích tế bào EHP nảy mầm, nhằm làm hư hoại sợi cực của EHP.
Bước 2. Làm hư hoại sợi cực của EHP bằng phương pháp Formol.
Con giống phải được kiểm tra PCR sạch bệnh và mật độ nuôi phù hợp, đây là biện pháp ngăn chặn tôm bị nhiễm EHP quan trọng từ khâu đầu vào.
Nước cấp vào ao phải được xử lý bằng Chlorine có nồng độ: 25-30ppm.
Quản lý độ trong của nước (lợn cợn), mật độ khuẩn và độ sạch của đáy ao bằng chế phẩm sinh học có hàm lượng lợi khuẩn cao như men vi sinh nhập khẩu từ Mỹ PRO4000X.
Ngăn chặn các vật chủ trung gian vào ao nuôi: chuột, hai mảnh, ba khía,.. từ đó khắc phục được một trong những nguyên nhân làm tôm bị nhiễm EHP rất hữu hiệu.
Cho ăn kháng thể đặc hiệu K-WE với liều 5g/kg thức ăn và sản phẩm EHP ROY với liều 2g/kg thức ăn nhằm phòng trị EHP khi tôm đã bị nhiễm.
Trên đây là nguyên nhân và biểu hiện khi tôm bị nhiễm vi bào tử trùng EHP, mọi thắc mắc về kỹ thuật hay thông tin sản phẩm trong bài, bà con vui lòng liên hệ qua Hotline 0911 383 533 để được các kỹ thuật viên của công ty trực tiếp giải đáp.
Chúc quý bà con có vụ mùa bội thu!





