Vermiform và mối liên hệ với hội chứng phân trắng trên tôm (White feces syndrome)
Cùng với sự gia tăng của bệnh hoại tử gan tụy cấp tính (AHPND) ở tôm nuôi thì tình hình tôm nhiễm Vermiform ngày càng gia tăng và gây nhiều thiệt hại cho người nuôi. Vậy vermiform là gì và ảnh hưởng như thế nào trên tôm ?
Cấu trúc Vermiform bề ngoài giống với các loài gregarines và thường phát hiện trong gan tụy của tôm nuôi, chúng không phải là một sinh vật độc lập mà là kết quả của sự biến đổi, bong tróc và tập hợp của vi nhung mao từ các tế bào biểu mô ống gan tụy. Các tế bào biểu mô bị loại bỏ sau đó trải qua quá trình ly giải, và quá trình này có tác động tiêu cực đến sự tăng trưởng và sống sót của tôm, và trong trường hợp rất nghiêm trọng có thể dẫn đến hiện tượng gọi là hội chứng phân trắng (WFS).
Hội chứng phân trắng trên tôm
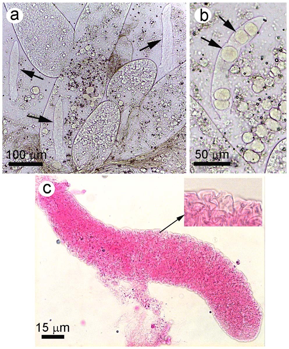
Khi soi tươi mẫu gan tụy trên kính hiển vi quang học ghi nhận được Vermiform có hình dạng gần như trong suốt với chiều rộng và đường kính tỷ lệ thuận với ống gan tụy mà chúng ký sinh (Hình 1A, 1B). Vermiform không có cấu trúc tế bào. Ở độ phóng đại 40x -100x, quan sát được Vermiform bao gồm một màng ngoài mỏng, bao quanh một phức hợp các màng dày hơn tạo thành các nếp gấp phức tạp (Hình 1C). Khi kiểm tra dưới kính hiển vi điện tử truyền qua cho thấy rằng lớp màng của Vermiform không giống với màng sinh chất hoặc lớp màng ngoài của bất kỳ gregarine, động vật đơn bào hoặc động vật đa bào nào khác đã biết trước đây. Vermiform không có các bào quan dưới tế bào như ty thể, nhân, mạng lưới nội chất và ribosome.
Hội chứng phân trắng trên tôm
Những màng bên trong của Vermiform được chứng minh là hình thành từ quá trình biến đổi các vi nhung mao trong ống gan tụy. Khi mất đi vi nhung mao, các tế bào gan tụy ban đầu trải qua quá trình ly giải. Ngược lại, các tế bào B vẫn còn nguyên vẹn hoặc được tách ra độc lập và toàn bộ từ biểu mô ống gan tụy.
Nguyên nhân của sự biến đổi vi nhung mao trong ống gan tụy hiện chưa được biết, nhưng sự hình thành Vermiform do mất vi nhung mao trong ống gan tụy và quá trình ly giải tế bào, cho thấy sự hình thành của chúng là một quá trình bệnh lý. Nếu đủ nghiêm trọng, chúng có thể kìm hãm sự phát triển của tôm và có thể khiến tôm bị nhiễm mầm bệnh cơ hội.
Hình 1. Gắn kết của cơ thể vermiform trong mô gan tụy tôm. (A) Ba cấu trúc Vermiformvới 1 Vertiform nằm bên trong ống gan tụy;
(B) Vermiform có cấu trúng giống bào tử; (C) Cấu trúc tế bào cuả Vermiform khi nhuộm bằng Rose Bengal.
Dấu hiệu bệnh lý hội chứng phân trắng trên tôm:
Dấu hiệu của hội chứng phân trắng WFS bao gồm sự xuất hiện của các sợi phân màu trắng đến hơi vàng (Hình 1A) đôi khi phát hiện trên mặt nước hoặc cũng có thể được tìm thấy trên sàn cho ăn (Hình 1B). Kiểm tra tôm từ các ao có biểu hiện của WFS cho thấy rằng ruột có màu từ trắng đến vàng (Hình 1C, D). Khi quan sát ruột bằng kính hiển vi quang học phát hiện nhiều cấu trúc Vermiform giống như các gregarines (Hình 1E).
Hình 2. Dấu hiệu tổng thể của hội chứng phân trắng WFS.
(A). Sợi phân trắng trên mặt nước;(B). Sợi phân trắng trên khay cho ăn; (C) Phân tôm bị ảnh hưởng chuyển màu trắng; (D) Phân tôm bị ảnh hưởng chuyển màu vàng nâu và lỏng; (E) Ruột tômcó dấu hiệu nhiễm WFS dưới kính hiển vi.
Khi sự xuất hiện của Vermiform nghiêm trọng, nó có thể dẫn đến sự hình thành các chuỗi phân trắng ở tôm và nếu nhiều tôm trong cùng một ao có hiện tượng này, nó có thể dẫn đến các chuỗi phân nổi. Hiện tượng này thường xảy ra từ 2 tháng nuôi trở đi, và nó có thể đi kèm với tỷ lệ tôm chết cao. Bên cạnh đó, Vermiform đôi khi xuất hiện cùng với các bệnh về gan tụy ở tôm như AHPND, các loại cảm nhiễm khác với vi khuẩn và ký sinh trùng. Tuy nhiên mối quan hệ giữa WFS và AHPND vẫn còn cần nhiều nghiên cứu hơn để đưa ra những kết luận chính xác.
Bệnh phân trắng trở nên nghiêm trọng trong ao nuôi.
Phương châm tiên quyết của ngành nuôi trồng thủy sản là phòng bệnh hơn chữa bệnh, thế nên trong quá trình nuôi bà con nên lựa chọn cho mình một liệu pháp phòng bệnh cho tôm nuôi an toàn và hiệu quả. Với mong muốn giúp đỡ bà con có những vụ mùa bội thu, tôm về đích với gan tốt ruột khỏe, bộ phận kỹ thuật của công ty Mỹ Bình đã nghiên cứu và cho ra một quy trình phòng bệnh tổng hợp cho tôm nuôi như sau:
Phương pháp phòng ngừa hội chứng phân trắng trên tôm:
Trộn 2 - 3ml thảo dược trị phân trắng cho tôm PROLIN/1kg thức ăn, cho ăn 1 cử lúc sáng sớm. Các cử còn lại trộn thảo dược bổ gan PROLIV. Cho ăn liên tục 3 ngày, ngưng 3 ngày, sau đó cho ăn lặp lại.
Khi xổ ký sinh trùng định kỳ, chỉ nên xổ vào những ngày tôm ăn mạnh, khỏe tôm (nên xổ theo chu kì).
Tôm yếu hoặc đang ăn yếu,.. không dùng PROLIN để xổ ký sinh.
Phương pháp điều trị hội chứng phân trắng trên tôm:
Vào 3 ngày đầu tôm bị phân trắng, bà con trộn 60% lượng thức ăn với liều lượng PROLIN – 5ml/1kg thức ăn. 40% thức ăn còn lại trộn với liều lượng PROLIV – 50ml/1kg thức ăn
Sát khuẩn ngày 1 và 2 với thuốc sát khuẩn cho tôm BRONOL với liều lượng 1L BRONOL/1000m3
Ngày thứ 4 trộn 20% thức ăn với PROLIN – 5ml/1kg , 50% thức ăn với PROLIV – 50ml/1kg. 30% còn lại trộn với men tiêu hóa PROZYME – 10g/1kg.
Biểu hiện của tôm trong quá trình trị bệnh phân trắng bằng thảo dược PROLIN
Ngày 1-3 phân trắng nổi nhiều, màu sắc tôm không đẹp, ngày thứ 4 giảm phân trắng nổi và hết nổi vào những ngày sau đó.
Tôm giảm ăn 3 ngày, ngày thứ 4-5 tôm sẽ ăn mạnh lên, màu sắc tôm sáng lại.
Tuyệt đối KHÔNG đánh khoáng và trộn khoáng ăn trong quá trình sử dụng PROLIN. Nên thay nước lúc chiều mát trong quá trình trị phân trắng.
Hi vọng với những thông tin trong bài viết vừa rồi của chúng tôi sẽ giúp quý bà con có thêm kiến thức trong việc phòng và trị bệnh phân trắng trên tôm một cách hiệu quả. Mọi thông tin cần tư vấn trực tiếp vui lòng liên hệ theo số điện thoại: 0911 383 533 để được hỗ trợ trực tiếp từ chuyên viên tư vấn kỹ thuật.
Bộ phận kỹ thuật công ty TNHH TM XNK MỸ BÌNH




